• 首頁
  • 關於我們
    • 關於我們
    • 環境設備
  • 醫療團隊
  • 治療項目
    • 一般牙科
    • 人工植牙
    • 齒顎矯正
    • 隱形矯正
    • 雷射治療
    • 全瓷牙套
    • 全口重建
    • 牙周治療
    • 牙齒美白
    • 肌功能矯正
  • 最新消息
  • 交通資訊
  • 案例分享
    • 齒顎矯正
    • 隱形矯正
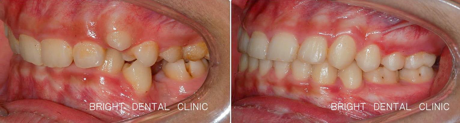
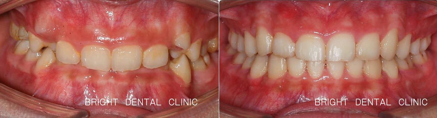
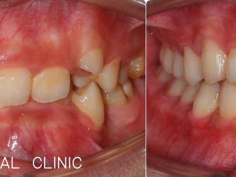
深咬
  • 首 頁
  • 案例分享
  • 齒顎矯正
More
More
More
採預約制,需線上預約!

電話:(02)2882-7680、(02)2882-7681

Line: @896olegn

地址:台北市士林區小北街5號1樓

  Mon一 Tue二 Wed三 Thu四 Fri五 Sat六
09:30 ~ 12:00   林   林 林 蘇
14:00 ~ 17:30 林 林/蘇 林/蘇 林 林 蘇
18:00 ~ 21:00 林 林/蘇 林/蘇   林  

本網站依據(醫療機構網際網路資訊管理辦法)規定:禁止任何網際網路服務業者轉錄其網路資訊之內容供人點閱。

但以網路搜尋或超連結方式,進入醫療機構之網址(域)直接點閱者,不在此限。

植牙推薦 · 牙齒貼片 · 全瓷冠 · 牙周治療 · 隱適美
瀏覽人數:62931