首頁
關於我們
關於我們
環境設備
醫療團隊
治療項目
一般牙科
人工植牙
齒顎矯正
隱形矯正
雷射治療
全瓷牙套
全口重建
牙周治療
牙齒美白
肌功能矯正
最新消息
交通資訊
案例分享
齒顎矯正
隱形矯正
齒顎矯正
首 頁
案例分享
齒顎矯正
More
臉型暴、暴牙、嘴唇閉合困難
More
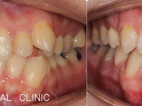
齒列擁擠空間不足
More
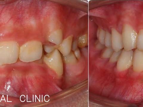
齒列擁擠、虎牙爆出、錯咬
More
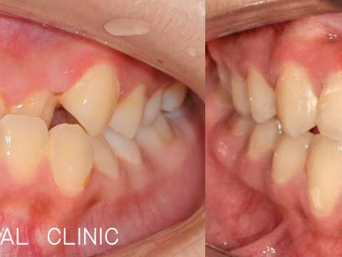
齒列擁擠 不拔牙治療
More
深咬
More
骨暴 臉型暴 嘴凸
More
前牙錯咬早期治療
More
戽斗 前牙錯咬2
More
戽斗、前牙錯咬、 三類咬合