首頁
關於我們
關於我們
環境設備
醫療團隊
治療項目
一般牙科
人工植牙
齒顎矯正
隱形矯正
雷射治療
全瓷牙套
全口重建
牙周治療
牙齒美白
肌功能矯正
最新消息
交通資訊
案例分享
齒顎矯正
隱形矯正
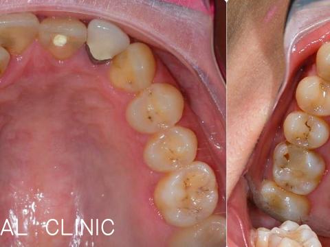
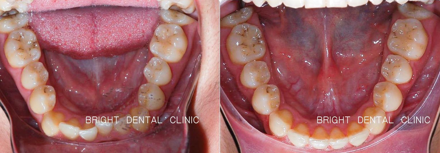
齒列擁擠 不拔牙治療
首 頁
案例分享
齒顎矯正
More
More
More
More